Cosmetic Dentistry
At Boulder Smile Design, we realize having a healthy, bright, beautiful smile enhances one's appearance and allows them to smile with confidence. Thanks to the recent advances made in modern cosmetic dentistry, we're able to improve the look of our patient's teeth and smiles with painless, customized, and affordable cosmetic treatments.
Dr. Jesse Friedman offers the top cosmetic dentistry services near Boulder, CO and beyond, because every procedure is delivered with each patient's aesthetic goals and complete body health in mind! Using top technologies and a customized approach, he addresses cosmetic concerns from a holistic standpoint to ensure the best decisions are made.
Cosmetic dental treatments at Boulder Smile Design often provide rapid results and can help our patients achieve the following:
- •Correct the size, shape, and alignment of the smile
- •Fill in unwanted spaces or gaps in the teeth
- •Improve or correct misaligned bites
- •Whiten or brighten the color of teeth
- •Repair decayed, broken, cracked, or chipped teeth
- •Replace missing teeth
- •Replace old, unattractive dental treatments
Remember, your smile speaks before you even say a word! Find out the ways cosmetic dentistry can help give you the confidence you deserve.

Smile Makeovers
Smile makeovers combine restorative and cosmetic dental procedures to restore a natural and beautiful smile! Dr. Friedman and his team are passionate about creating customized treatment plans to meet the unique goals of each patient.
During every smile makeover, a number of procedures may be performed to enhance the overall aesthetic appearance of the teeth and gums, including teeth whitening, dental implants, veneers, tooth-colored fillings, bonding and contouring, and more.

Teeth Whitening
Teeth whitening (or bleaching) is a simple, non-invasive dental treatment used to change the color of natural teeth enamel and is an ideal way to enhance the beauty of your smile. We offer both take-home and in-office whitening services with KöR Whitening, the most effective product on the market today.
Whether you prefer a painless, in-office whitening treatment or whitening your smile in the comfort of your own home, the team at Boulder Smile Design has you covered!
Dental Bonding
Dental bonding is a cosmetic procedure that allows our dentist to reshape or repair your smile using composite resin. Often, our team can easily and affordably repair chipped or uneven teeth using dental bonding, resulting in a new look for your smile and restored self-confidence.
Even better, we can typically complete dental bonding work in a single visit and most patients' smiles don't even require numbing!

Porcelain Veneers
Dental veneers are very thin pieces of durable, tooth-shaped porcelain that are custom-crafted for shape and color by a professional dental laboratory. Each dental veneer is bonded onto the front of teeth to create a beautiful and attractive smile.
At Boulder Smile Design, we offer durable porcelain veneers that can completely reshape your teeth and smile. They can often be alternatives to crowns and the ideal solution to treat many aesthetic dental conditions.
Invisalign® Clear Teeth Aligners
Boulder Smile Design offers clear custom teeth aligners for patients who are looking to straighten and reposition their smiles. Because they are almost invisible and can be easily removed, aligners are typically preferred by patients over traditional orthodontics.
We're proud to offer Invisalign® systems, known to deliver fast, healthy results. Even better, our dentist is a gold-level Preferred Invisalign Provider, so you can always feel confident in receiving treatment from a highly-trained orthodontic expert!

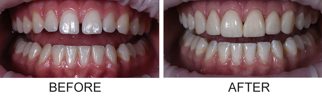
BEFORE

AFTER
Schedule Your Cosmetic Dentistry Consultation
The team at Boulder Smile Design is dedicated to helping each patient achieve the confident smile they deserve.